Bring Back Your Smile with Dentures & Dental Implants Across the Central Coast

Find the right replacement option for missing teeth, from custom dentures to lasting dental implants, with affordable choices here on the Central Coast.

shot pleasant
Get Your Confident Smile Back

Dentures vs Implants – Choosing the Best Way to Replace Missing Teeth

That empty space left by missing teeth… it’s more than just a gap in your smile, isn’t it? It can cast a shadow over your mealtimes, making once-delicious foods a challenge. It can make you hesitate before speaking or sharing a laugh. Losing several teeth, or even a full set, can quietly destroy your daily confidence and enjoyment of life’s simple moments.

The good news is that Albany Dental has fantastic options like comfortable custom made dentures (sometimes called false teeth or a plate), or for a fixed solution dental implants can replace your tooth and are the closest thing to having your natural tooth back.

From Traditional to High-Tech

While dental technology has made huge advances, removable dentures remain the most economical way (both in time and financially) to replace tooth aesthetics and lost function. For highly technical dentures such as implant retained dentures or snap on smiles Albany Dental works in co-operation with local specialists to achieve the best result for your smile.

99 2
99 3
100 1

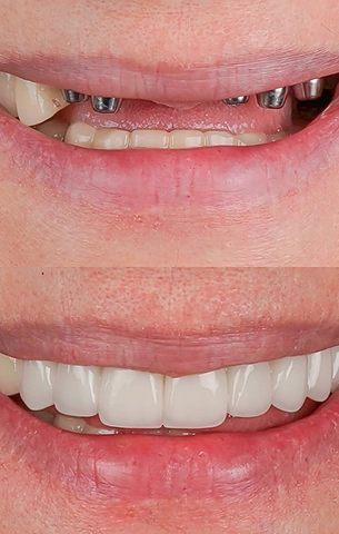
The Feel of Natural Teeth with Implants

Dental implants involve placing a small, biocompatible titanium post into your jawbone. This post acts like a tooth root, integrating with the bone to provide unparalleled stability for a replacement tooth or bridge. No slipping, no clicking, just a secure feel.

The Best of Both Worlds? Implant Dentures

Want more security than traditional dentures without implants for every tooth? Implant-supported dentures (or denture implants) use a few strategically placed implants to anchor a denture firmly, offering a fantastic balance of stability, confidence and affordability.

dentures 1
dentures 11
dentures2

Eat, Speak & Smile Without Worry

Replacing missing teeth is about more than just looks. It improves your ability to chew nutritious foods, supports your facial structure, preventing a ‘sunken’ look and lets you laugh and speak without hesitation.

Missing Teeth Affecting Your Life? Let's Find Your Solution!

Understanding the difference when comparing implants vs dentures is an important thing to consider. Implants integrate with the bone, providing a fixed solution, whereas dentures are removable dental plates for missing teeth.

Our qualified Gosford team will explain the pros and cons, including implant-supported dentures, to find your best fit. Ask about our flexible payment options too. Key Steps (General):

Consultation: Discuss implants vs dentures, suitability and planning.

Impressions/Scans: This is used to create custom dentures or implant guides.

Denture Process: Try-in stages for fit, bite and look.

Implant Process: Surgical placement, healing phase, final restoration attachment.

Final adjustments: For comfort and function.

Mask group 43

REAL STORIES FROM YOUR GOSFORD NEIGHBOURS

Discover how dentures and implants improved life for our Gosford patients.

Your Denture & Implant
Questions Answered

How long does the dental implant process take?

It varies. Placing the implant post requires surgery, followed by a healing period of several months for the bone to fuse (osseointegration) before the final tooth is attached. The entire process can take anywhere from 3 to 9 months or longer.

Most people are candidates, but good general health and sufficient jawbone density are important. We’ll assess your suitability during a consultation, considering factors relevant to dental implants and dentures.

Removable dentures will typically have a lower initial cost to dental implants, replacing several teeth at a time if required however due to their design they are required to be removed daily for cleaning and maintenance and may require future modifications to aid with comfort and stability.

Dental implants have a higher initial cost and are a fixed alternative to replace single teeth (or bridges) however they may require less modifications in the future.

Missing Teeth? Let's Talk Replacements

Contact us to schedule a consultation about dentures or dental implants in Gosford. Let us know what you need and our experienced team will guide you to the best solution.

image 2025 08 19T145941.524
albany logo
Dental Services

Stay on top of your smile with expert, everyday care.

Brighten your smile and fix small imperfections.

Gentle, kid-friendly care that puts little smiles at ease.

For sudden pain, broken teeth or urgent dental care.

About

Meet the trusted team behind Gosford’s favourite smiles.

Explore tips, treatments and dental advice worth smiling about.

logo 2

Enquire Here