Restore Your Smile with Dental Crowns & Bridges on the Central Coast

Restore your smile’s function with reliable dental crowns and bridges from our long-standing Gosford practice, serving the Central Coast since 1978.

beautiful young woman smiling 2
Strength and Beauty, Restored

Reliable Fixes for Damaged or Missing Teeth Using Dental Crowns & Bridges

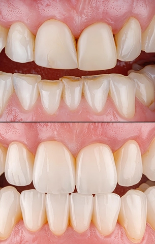
Do you have a badly broken tooth or a gap where a tooth used to be? Dental crowns (often called caps) and dental bridges are excellent restorative solutions offered at our Gosford clinic. A crown completely covers a damaged tooth, protecting it and restoring its shape and strength.

A bridge, on the other hand, spans the gap left by one or more missing teeth, using the adjacent teeth for support. At Albany Dental, our experienced team uses high-quality materials like ceramic dental crown options for a natural look and feel. We can help you understand what dental crowns and dental bridges are in more detail.

If several teeth are missing, dentures or implants might be worth exploring too.

Protecting Weakened Teeth (Crowns)

Think of a crown like a strong helmet for your tooth. It’s ideal for teeth that are cracked, have large fillings, or have undergone root canal treatment, preventing further damage.

crowns 1
image 3
dentures 3

Filling the Gaps (Bridges)

A fixed dental bridge is a great way to replace one or more missing teeth. It restores your ability to chew properly and prevents neighbouring teeth from drifting out of place. We offer various dental bridge types, including natural-looking porcelain bridge options.

Natural Look & Feel

We use high-quality porcelain and ceramic materials for your crown and bridge work, carefully matching the colour and shape to blend seamlessly with your existing teeth.

crowns 2
crowns 22
dentures 4

Durable, Long-Term Solutions

Designed for strength and longevity, crowns and bridges provide a reliable, long-lasting fix when maintained with good oral hygiene and regular checkups.

Broken Tooth or Missing One? Here’s How Dental Crowns & Bridges Help!

Your dentist will choose the right treatment with you for your bridge. Guiding you through the many options of design, materials and aesthetics; you can feel reassured that our experienced dental team will work with you to get the best result.

Our experienced, registered Gosford dentists use quality materials like ceramic dental crown options for natural-looking results. And remember, we offer payment plans to make treatment affordable. Key Steps:

Consultation and treatment planning.

Preparing the tooth/teeth (shaping, removing decay).

Taking impressions or digital scans.

Placing a temporary restoration (if needed).

Crafting the custom crown/bridge in a lab.

Fitting and cementing the final restoration.

Final checks for bite and comfort.

crowns 5

REAL STORIES FROM YOUR GOSFORD NEIGHBOURS

Central Coast patients share how crowns & bridges restored their teeth.

Your Crown & Bridge
Questions Answered

How long do dental crowns and dental bridges last?

With good home care and regular dental checkups, they can last a long time, often 10-15 years or more! The exact lifespan depends on the material and your oral habits. Our long-standing practice focuses on durable solutions.

No, the tooth preparation is done under local anaesthetic, so you won’t feel pain during the appointment. You might feel some temporary sensitivity afterwards, but this is usually mild and easily managed. Your comfort is important to us.

Crown and bridge work require extra care when compared to your natural teeth. On top of your twice per day brushing and flossing additional products such as piksters and superfloss may be required to access the different undercuts, edges of the crowns and areas on a bridge below the teeth that are fused together.

A bridge uses the teeth next to a gap as anchors to hold a replacement tooth. An implant involves placing an artificial root into the jawbone to support a crown. We can discuss the pros and cons of each for your situation.

Let’s Get That Gap In Check

Need to repair a tooth or replace a missing one? Call or contact us to book a consultation about dental crowns or dental bridges. Explain what’s bothering you, and we will discuss the best solutions for you.

ADHS MB 11 2
albany logo
Dental Services

Stay on top of your smile with expert, everyday care.

Brighten your smile and fix small imperfections.

Gentle, kid-friendly care that puts little smiles at ease.

For sudden pain, broken teeth or urgent dental care.

About

Meet the trusted team behind Gosford’s favourite smiles.

Explore tips, treatments and dental advice worth smiling about.

logo 2

Enquire Here